
| FREE CONSULTATION by APPOINTMENT |
| Gift Certificates Available |


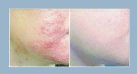
| Crystal-Free Diamond Microdermabrasion |
| SAFE CLEAN FAST Skin resurfacing and rejuvenation Minimize: fine lines and wrinkles stretch marks (from cellulite) dull or oily skin hyperpigmentation scars and blemishes |



| SPA & SKIN CARE CLINIC Jackson Heights, NY 718-791-8323 www.mdcnyskin.com by appointment |
